
Nossos alinhadores ortodônticos transparentes corrigem a posição dos seus dentes de forma discreta, previsível e confortável. Você sabe quanto tempo vai durar o seu tratamento.Transforme seu sorriso sem aparelhos metálicos, sem borrachinhas.
Obtenha Seu Alinhador Personalizado

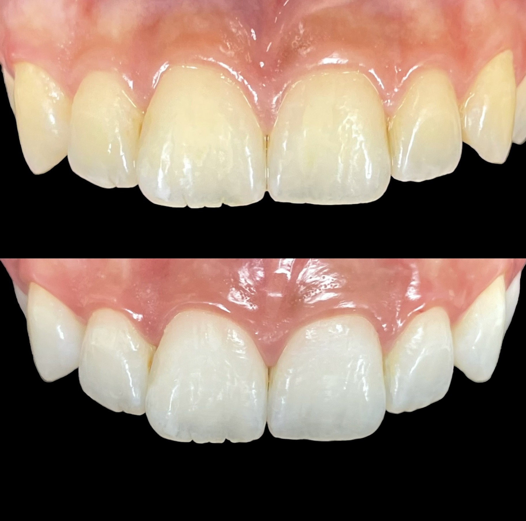
Nossos alinhadores corrigem a posição dos seus dentes de forma discreta e confortável. Transforme seu sorriso sem aparelhos metálicos e sem comprometer o visual.
Sabemos como dentes desalinhados afetam sua qualidade de vida, por isso oferecemos uma vasta gama de procedimentos, todos realizados por profissionais qualificados e ténicas de última geração.
O Alinhador exerce uma pressão gradual nos dentes que não causam desconforto.
Alguns casos são finalizados em até 1/3 do tempo do aparelho convencional.
Muito mais discreto do que um aparelho convencional.
Aparelho removível que facilita a sua higiene bucal.
A harmonização facial é um conjunto de procedimentos estéticos que buscam equilibrar e melhorar a aparência facial. Entre os procedimentos comuns estão preenchimento com ácido hialurônico e técnicas para remodelar o contorno facial. Feito por profissionais especializados, é importante passar por uma avaliação detalhada antes do tratamento.
As próteses dentárias são dispositivos usados para substituir dentes ausentes e restaurar a função mastigatória e estética. Podem ser removíveis ou fixas, escolhidas de acordo com as necessidades do paciente. Além de melhorar a qualidade de vida, devem ser confeccionadas e instaladas por profissionais qualificados, com cuidados e higiene adequados.
Meu objetivo é preservar sua saúde, seu sorriso e sua qualidade de vida a partir de um atendimento profissional, ético e de confiança.
Ofereço em nossa clínica toda a gama de atendimentos que a odontologia moderna pode proporcionar.
Tendo como missão a Odontologia Humanizada, são inúmeros os sorrisos que recebemos dos nossos pacientes.